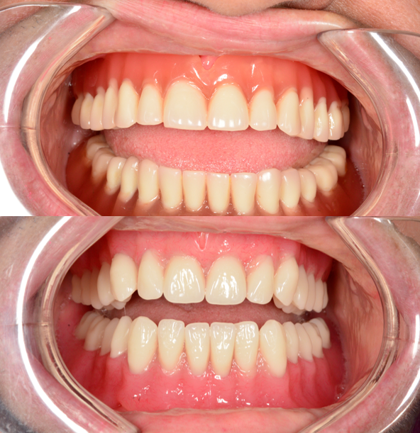
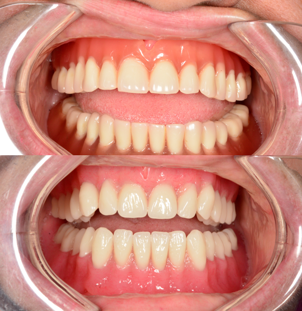
Biologičan koncept totalnih proteza

Tečaj je namijenjen dentalnim tehničarima i doktorima dentalne medicine koji su svjesni da je nadomjestak prirodnih zuba, izbor umjetnih zuba i gubitak koštanih dijelova, zahtjevan klinički i laboratorijski postupak protetskog zbrinjavanja pacijenta. Potrebno je rekonstruirati i uspostaviti ravnotežu između funkcije i estetike. Polaznici će se na tečaju upoznati s konceptom po dr. Eugenu Endu koji se temelji na bio - logičnom kraniomandibularnom nizu donje čeljusti. Tečaj preporučujemo timovima tehničari - doktori dentalne medicine, kao i svakome od njih zasebno.

Sadržaj
• fiziološka okluzija zagriza,
• anatomski i funkcijski otisak (prikaz na pacijentu),
• izrada radnih modela (u laboratoriju),
• estetika i fonetika zuba u fronti, fiziološka centrična relacija i opis postupka do artikuliranja,
• umetanje zagrizne šablone i registracija međučeljusnog odnosa,
• postava VITA Physiodens zuba prema zakonima biologične protetike (dentalni tehničari),
• analiza modela i postavljanje gornjih i donjih zuba za pacijenta,
• fiziološke i ne fiziološke kretnje donje čeljusti i biologična protetika u fiksnom protetskom
nadomjestku,
• završavanje proteze u vosku, proba totalne proteze u ustima pacijenta,
• tehnika izrade umjetne gingive,
• registracija međučeljusnih odnosa,
• reokluzija totalne proteze,
• obrada proteze prema zakonima biologične protetike,
• umetanje i tretman totalne proteze na pacijentu.

Osnovne informacije

  • LokacijaEdukacijski centar Interdent Celje (Slovenija)
  • Početak obrazovanja9.00
  • Trajanje3 dana
  • Broj učesnika8 - 12
  • Jezikhrvatski
  • Cijena550,00 € + PDV

Predavači

Prim.dr.sc.Sanja
Prim.dr.sc.Sanja Štefančić dr.med.dent.spec.
Samir
Samir Berisalić, zt

Podijelite obrazovanje

Prijava na edukaciju