Kirurško produljenje zubne krune i šavovi u endodontskoj kirurgiji

Kirurško produljenje zubne krune je jednostavan kirurški zahvat koji se izvodi u lokalnoj anesteziji. Svrha mu je dodatno eksponirati vidljivi dio krune ili korijena što se postiže uklanjanjem kosti i/ili gingive  oko jednog ili više zuba.

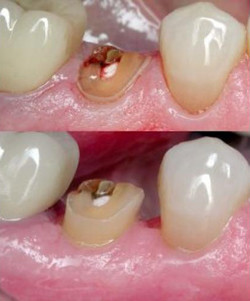
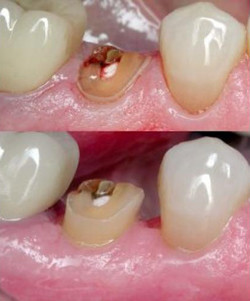
Kirurško produljenje zubne krune je jednostavan kirurški zahvat koji se izvodi u lokalnoj anesteziji. Svrha mu je dodatno eksponirati vidljivi dio krune ili korijena što se postiže uklanjanjem kosti i/ili gingive  oko jednog ili više zuba. Nakon zahvata, kirurška rana zatvara se šavovima koji se uklanjanju nakon tjedan dana. Izvodi se u svrhu tretiranja subgingivnog karijesa ili potrebe za protetskom opskrbom.

Tijekom radnog tečaju dat će se.

  • teorijske osnove kirurškog izvođenja produljenja krune zuba,
  • šivanja nastale rane i temeljnog instrumentarija potrebnog za izvođenje zahvata.

Prikazat će se smjernice postupanja s pacijentom nakon zahvata. Nakon teoretskog i pokaznog dijela, polaznici će na modelima izvesti produljenje krune zuba nakon čega će vježbati pojedine šavove koji se koriste, između ostaloga, u enddontsko-parodontološkoj kirurgiji.

Osnovne informacije

  • LokacijaEdukacijski centar Interdent Celje
  • Početak obrazovanja9.00
  • Trajanje1 dan
  • Broj učesnika6 - 12
  • Jezikhrvatski
  • Cijena350€ + PDV

Predavači

prof.dr.sc. Ivica
prof.dr.sc. Ivica Anić dr.dent.med.

Podijelite obrazovanje

Prijava na edukaciju